Кисты селезенки: что скрывается за этим диагнозом?
Кисты на селезенке – распространенное явление, что часто пугает пациентов. В медицине существуют эффективные способы устранения данного недуга, и они не принесут человеку значительного дискомфорта. Что это за образования, как их лечат и почему они возникают, разбираем в этой статье.
Что такое киста селезенки?
Киста селезенки – это капсула, полость которой заполнена жидкостью. Такие образования разделяют на истинные и ложные. У первых есть внутренняя эпителиальная выстилка. Чаще всего это врожденные кисты селезенки, которые формируются в период внутриутробного развития. Ложные же образуются после травм, инфекций, и не имеют эпителиального слоя. Большинство кист доброкачественны.
Что делает селезенка и какова ее роль в организме человека? Этот орган фильтрует кровь, участвует в иммунном ответе, производит лимфоциты и антитела. У нее губчатая структура, также – развитая сосудистая сеть.
От чего появляется киста в селезенке? Врожденные формы связаны с нарушениями развития эмбриона. Приобретенные кистозные образования появляются вследствие травм живота, паразитарных инвазий, инфекций.
Паразитарная киста селезенки развивается при эхинококкозе. Вызывается ленточными червями.
От чего появляется киста? Определить это сможет только врач после тщательного обследования пациента. Стоит отметить, что женщины страдают этой проблемой в 4-5 раз чаще, чем мужчины. Такая статистика обусловлена гормональными особенностями. Наиболее часто недуг встречается у молодого населения возрастом 20-40 лет, но изредка диагностируется у детей.
Как диагностируется киста селезенки?
При небольших кистах селезенки симптомы не столь выражены. Когда орган увеличивается в размере, пациент начинает ощущать дискомфорт в левом подреберье, а также тяжесть после еды, тошноту.
Возможно, у вас возник вопрос: “как болит селезенка, если в ней есть киста?” Обычно боль тупая, ноющая, усиливается после приема пищи, при физической нагрузке. При кисте селезенки симптомы нередко включают одышку при нагрузках, крайне быструю утомляемость.
Существует перечень и опасных осложнений при данной болезни.
- Внезапная острая боль в правом подреберье
- Головокружение
- Слабость
- Бледность
- Падение артериального давления
- Учащение пульса
Если вы ощутили что-то из этих симптомов, не откладывайте свой визит к доктору. Когда боль очень сильная, скорее всего необходима экстренная госпитализация вследствие разрыва кисты.
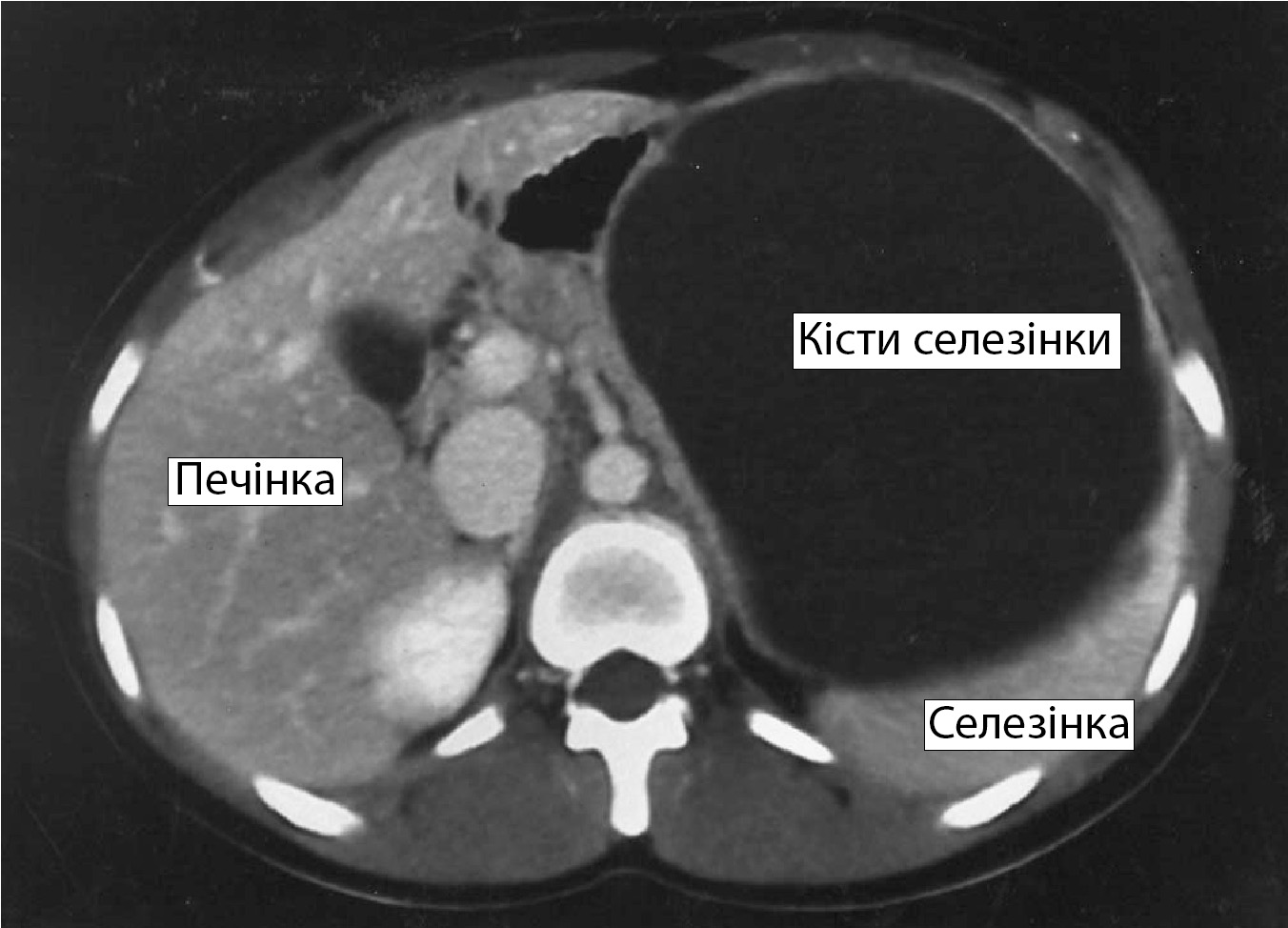
Клиническая картина такого заболевания схожа с проявлениями других патологий желудочно-кишечного тракта. Поэтому для диагностики состояния обращаться нужно к гастроэнтерологу. Для установления диагноза врачи проведут УЗИ диагностику. Метод позволяет определить локализацию, размер, структуру кисты в селезенке. При необходимости назначается компьютерная или магнитно-резонансная томография.
Важность размеров кисты
Если обнаружена киста селезенки, размеры образования влияют на дальнейшую тактику лечения. Разрыв капсулы может произойти даже при незначительной, на первый взгляд, травме живота, поэтому следить за этим нужно пристально, наблюдаться в медицинском учреждении.
Для дефектов до 5 см нужна лишь регулярная диагностика и контроль врача. Операции на них проводятся достаточно редко.
Если же размер кисты более 5 см – потребуется консультация хирурга. Крупные образования сдавливают внутренние органы брюшной полости, нарушают их нормальное функционирование. Они также могут вызвать абсцесс селезенки. В таком случае срочно потребуется обращение в отделение общей хирургии и операция.
При множественных дефектах врач оценивает размер общей пораженной области. В случае, когда образования занимают больше 50% площади селезенки, работоспособность органа сильно ухудшается.
Что делать при диагностировании кисты в селезенке?
Частый вопрос, который звучит при первых подозрениях: “киста в селезенке, что делать?” Главное в такой ситуации не паниковать. Доброкачественные образования не несут опасности, за ними требуется лишь регулярное наблюдение. Для уточнения характера образования специалисты OMD clinic назначат обследование для уточнения характера дефекта, исключения паразитарной природы его появления, оценки функциональности самого органа.
Опасна ли киста селезенки? Потенциальную опасность представляет не сама киста, а ее осложнения, как разрыв, нагноение, малигнизация. При больших размерах она может сдавливать соседние органы и ухудшать их работу. Поэтому в целях предотвращения последствий данной патологии, необходимо обращаться ко врачу своевременно.
Может ли киста селезенки может исчезнуть самостоятельно? Дефекты сами по себе не проходят, ведь они требуют наблюдения и лечения. При выявленном образовании врачи рекомендуют избегать контактных видов спорта, не поднимать тяжести весом более 5 кг, не делать резких движений.
Когда киста требует хирургического вмешательства?
Удаление кисты селезенки показано, когда она составляет более 5 см, быстром росте образования. Также если есть подозрение на паразитарную или злокачественную природу ее появления. Оперативное вмешательство же необходимо при компрессии соседних органов или нарушении работы селезенки. В случае кровоизлияния в полость кисты, возможно инфицирование с накоплением в ней гнойного содержимого и может наступить разрыв. Также такое возможно при повышении давления жидкости внутри кисты.
В современной хирургии чаще всего доктора прибегают к методам малоинвазивной хирургии. Она позволяет удалить образование лапароскопическим доступом. При таком методе травматизация здоровых тканей минимальна. Спленэктомию, или же полное удаление органа, проводят только при наличии массивных и множественных кист, разрыве органа и кровотечении.
Если киста имеет паразитарную природу происхождения, то перед операцией сначала пациенту нужно пройти курс противопаразитарной терапии. Врач назначает препараты альбендазола, мебендазола. Длительность курса – 1-3 месяца. Это необходимо для снижения жизнеспособности паразита, уменьшения риска анафилактического шока и обсеменения внутренних органов при вскрытии кисты.
Безопасна ли операция?
Лапароскопическая операция удаления кист селезенки – это относительно безопасная процедура и она широко применяется в хирургии. При таком доступе риск развития осложнений минимальный, период восстановления короче, лучше сам косметический результат.
Но нельзя исключать возможность развития нежелательных последствий как инфицирование, кровотечения, тромбоэмболические осложнения, травматизация соседних органов.
Перед вмешательством команда докторов обязательно оценивает общее состояние здоровья пациента, результаты диагностики, анализов, наличие сопутствующих патологий. Обязательно проводится тщательная подготовка пациента физически и психологически. При соблюдении всех протоколов, риск возникновения осложнений составляет не более 3%.
Альтернативные варианты лечения кисты селезенки
Как вылечить кисту селезенки без операции? Консервативное лечение патологии возможно лишь тогда, когда образования небольшие и симптомы неярко выражены. В таком случае, пациент должен проходить регулярную ультразвуковою диагностику каждые 6 месяцев.
Диета на данном этапе не играет существенной роли, но все же рекомендовано не употреблять острую, жареную и жирную пищу, алкоголь, а также продукты, что усиливают газообразование.
Альтернатива открытой операции – пункция кисты селезенки. Процедуру проводят под контролем УЗИ, выполняется аспирация содержимого, вводятся склерозирующие препараты, как этиловый спирт, фибриновый клей. Однако у такого метода лечения высокий риск возникновения рецидивов. Он также не используется при паразитарной форме кисты – велика вероятность анафилактического шока и обсеменение брюшной полости.
Как подготовиться к операции и что ожидает в послеоперационный период?
Во время консультации врач беседует с пациентом, собирая анамнез. Спрашивается о перенесенных заболеваниях, и далее пациента направляют на анализы и процедуры.
- Анализы крови и мочи.
- Коагулограмма.
- ЭКГ.
- Рентгенография грудной клетки.
При необходимости проводятся консультации смежных специалистов для оценки здоровья организма человека. За неделю до вмешательства отменяются медикаменты, что могут оказать влияние на качество свертываемости крови. Последний прием пищи должен состояться за 8 часов до манипуляции.
При лапароскопической операции восстановление протекает благоприятно. В первые сутки пациент пребывает в стационаре, за ним постоянно наблюдают медики. Вводятся обезболивающие препараты, проводится профилактика тромбоэмболических осложнений. Активизация, энтеральное питание спустя 4-6 часов способствует скорейшему выздоровлению. И если отсутствуют осложнения, человека выписывают спустя 2-3 суток. К обычной диете можно возвращаться уже через 1-2 недели.
Специфической диеты при данном состоянии не существует. Но рекомендуют пациенту все же включить в рацион продукты, богатые антиоксидантами, как фрукты, овощи, употреблять белок. В этот период также будет крайне полезным красное мясо, печень, гранат. Нужно ограничить употребление жареной, жирной пищи, алкогольных напитков.
В первые сутки разрешается пить небольшими глотками. На вторые – жидкая пища, как бульон и кисель. С третьих – протертая пища, каши.
Реабилитационный период составляет от 2 до 4 недель. И в данное время рекомендуют ограничить физические нагрузки. Через месяц после операции пациенту делают контрольное УЗИ. Полное восстановление наступает приблизительно через 6 недель при благоприятном прогнозе.
